新潟市秋葉区新津の歯科医院
ご予約・お問い合わせは



歯周病、虫歯などは、毎日の丁寧なブラッシングで十分に予防できます。 適当に歯ブラシを動かすのではなく、歯科医師や歯科衛生士の指導を受けて正しいブラッシングを行いましょう。

歯が割れてしまったら、ほとんどノーチャンスです。しかし、ヒビのある時点で渋谷歯科医院が行っている方法で治療すれば、歯が割れるというリスクを減らすことができます。

定期的な健診により、歯を削ったり、抜いたりするリスクを下げることができます。一生ものの歯を大事にしましょう。

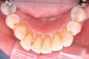
A さん

![]()

25年経っても失った歯はありません。着色はありますが、問題なく年を重ねられています。
B さん

![]()

20年経過しています。下の前歯にあった歯肉の腫れも無くなり、歯周病は改善し安定しています。
C さん



タバコをやめることで歯周病の状態が良くなっただけではなく、
歯肉の色もきれいなピンク色に戻りました。
D さん

![]()

27年経過しています。かみ合わせが低くならないよう定期健診が続いています。
E さん

![]()

21年後です。歯ぎしりのために、歯が減っています。
継続的なメインテナンスがとても大事です。
F さん

![]()

歯周病の進行と舌で歯をおす癖のために歯並びが悪くなりました。
G さん





歯周病の改善と舌の使い方を気をつけることで歯並びが年々良くなっています
H さん



かみしめる癖があって顎の骨のコブが大きくなっています。